CEBPAのクロマチン免疫沈降
実験1
細胞:3T3-L1 (Day8, 50%分化), 6cm dish
処理条件:DMEM(H)/FBS(-)で2回wash→10uM Pioglitazone/DMEM(H)/FBS(-), 23hr
クロマチン免疫沈降
・抗体:rabbit anti-CEBPA (14AA) (Santa Cruz, sc-61, Lot D2205), 2ug
・DNA精製
・キット:PCR-M
・PX Buffer 1000ul使用
・WS Bufferで2回wash
・elution buffer 50ul
・リアルタイムPCR
・mActb promoter (mouse Actb promoter -250bp付近): GAGACATTGAATGGGGCAGT
+ ATGAAGAGTTTTGGCGATGG
・mCat PPRE (mouse Cat promoter PPRE): GTGCCCAGTCATACACATACACA
+ GGTGCCAAATGTCAAAAGCA

実験2
細胞量(1条件あたり)
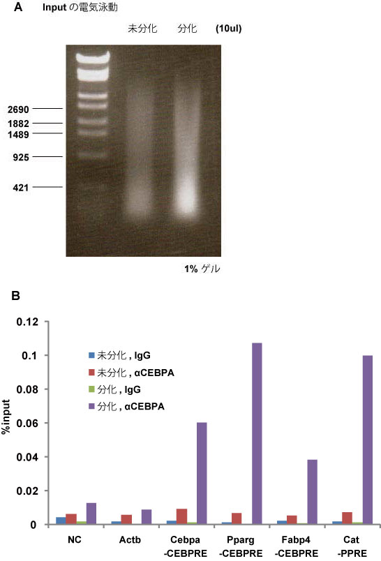
・3T3-L1 (分化誘導後4日目, 分化率90%), 9cmディッシュ1枚
・3T3-L1 (分化誘導なし, 100%コンフルエント), 9cmディッシュ1枚
抗体量(1条件あたり)
・rabbit IgG, 2ug
・rabbit anti-CEBPA (14AA) (Santa Cruz, sc-61), 2ug
リアルタイムPCR
・アニーリング温度:65℃
・Primer
NC:mouseのintergenicなgenome領域
5'-CAGACATGTCAAATCAAGAAGACAG-3', 5'-ACTTTGGAGGAAGAGGCAGAAA-3',
増幅長91bp, Eff 90.1%
Actb:mouse Actb promoter -250bp付近
5'-GAGACATTGAATGGGGCAGT-3', 5'-ATGAAGAGTTTTGGCGATGG-3', 増幅長92bp,
Eff 109.0%
Cebpa-CEBPRE:mouse Cebpa promoterのCEBPRE
5'-TTGCGCCACGATCTCTCTC-3', 5'-CTTAGAGCCCGCCTTCTCCT-3', 増幅長:80bp,
Eff 102.7%
Pparg-CEBPRE:mouse Pparg promoterのCEBPRE
5'-CCACTGGTGTGTATTTTACTGCAA-3', 5'-GTTCTGTGAGGGGCGTGAA-3',
増幅長:102bp, Eff 106.9%
Fabp4-CEBPRE:mouse Fabp4 promoterのCEBPRE
5'-CATTGCCAGGGAGAACCAA-3', 5'-CCATGTGACTGTAGGAGTGACCAA-3',
増幅長:123bp, Eff 108.2%
Cat:mouse Cat promoterのPPRE
5'-GTGCCCAGTCATACACATACACA-3', 5'-GGTGCCAAATGTCAAAAGCA-3',
増幅長:123bp, Eff 93.1%
