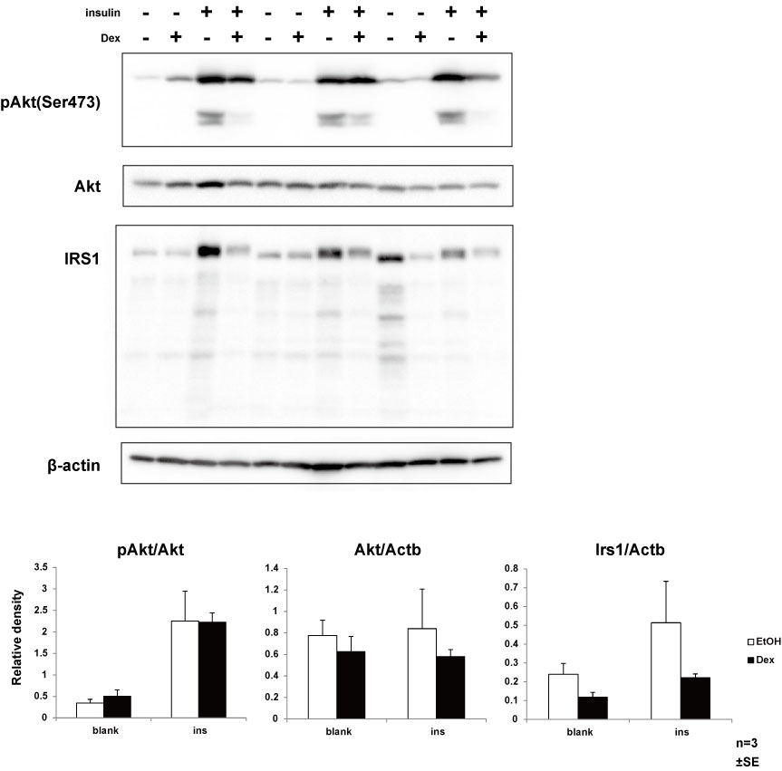
Dexamethasoneの3T3-L1脂肪細胞におけるインスリンシグナルへの作用
細胞:3T3-L1 (70%分化)
分化条件:pioglitazone(-)
処理条件:1uM Dex or EtOH/DMEM/10%FBS, over night→DMEM(FBS-)でwash→1uM Dex or
EtOH/DMEM(FBS-), 3hr→1uM insulin, 15min
Western blotting
・ローディング量
・pAkt, Akt, IRS1:1.5ug
・β-actin:0.6ug
・ゲル濃度
・pAkt, Akt, β-actin:12%
・IRS1:7.5%
・1st Ab:4℃, over night
・pAkt:Phospho-Akt (Ser473) (D9E) XP (Cell Signaling, 4060, Lot 19),
1/2000希釈
・Akt:Akt Antibody (Cell Signaling, 9272, Lot 25), 1/4000希釈
・IRS1:1/2000希釈
・β-actin:β-actin antibody (Sigma, A5441), 1/4000希釈
・2nd Ab:1/2000希釈
・pAkt, Akt, IRS1:Anti-rabbit Ig (GE, NA934V)
・β-actin:anti-mouse (GE, NA931V)
