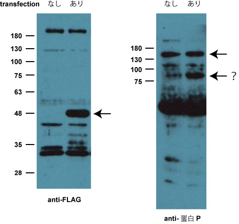
CEBPAとPHF2の共発現
結論
・CEBPAと蛋白Pを同時に強制発現させても、CEBPAは発現するが、蛋白Pは発現しない
細胞:3T3-L1 (80% confluent) 6cm dish 1枚
トランスフェクション
plasmid:pcDNA-FLAG-hCEBPA 4ug +
pcDNA-HA-human蛋白P 4ug
lipofectamine 2000:20ul
細胞回収までの時間:2日間
SDS-PAGE
ローディング量:10cmディッシュ1/225枚分
ゲル濃度
left panel:10%
right panel:8%
ウェスタンブロット
一次抗体-二次抗体-発色液-コンタクト時間
left panel:rabbit anti-FLAG (Sigma, F7425), 1/1000希釈 - anti rabbit Ig
(Dako, P0448), 1/3000希釈 - Pierce ECL - 30min
right panel:rabbit anti-human蛋白P, 0.44ug/ml - anti rabbit Ig (Dako,
P0448), 1/3000希釈 - SuperSignal West Femto - 10min
