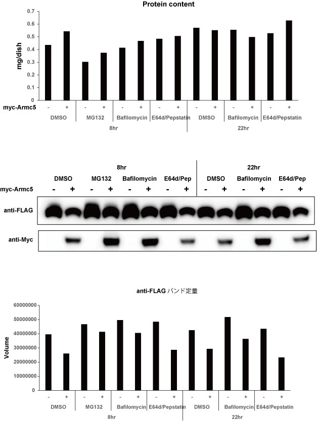
Armc5 過剰発現 HEK293T 実験2
細胞:HEK293T
・0.5 x 10^6/6cm→17hr後、50% confluent
トランスフェクション
・プラスミド
・pcDNA3.1-FLAG-mSrebf1, 1.5ug/dish
・pcDNA3.1-myc-His, 1.5ug/dish
・pcDNA3.1-mArmc5-myc-His, 1.5ug/dish
薬剤処理
・トランスフェクションから25hr後に処理→8, 22hr後にharvest
・DMSO
・10uM MG132
・200nM Bafilomycin A
・10ug/ml E64d + 10ug/ml Pepstatin A
ウェスタンブロッティング
・ゲル:7.5%
・Loading量:4.5ug/Lane
・抗体:4℃, O/N
・anti-FLAG M2-HRP (Sigma, A8592, 093K9158), 1/2000希釈
・Myc-tag (9B11) mAb (HRP conjugate) (Cell Signaling, 2040, 4), 1/1000希釈
結果
・MG132, 22hr処理群は、ほぼ全滅。
