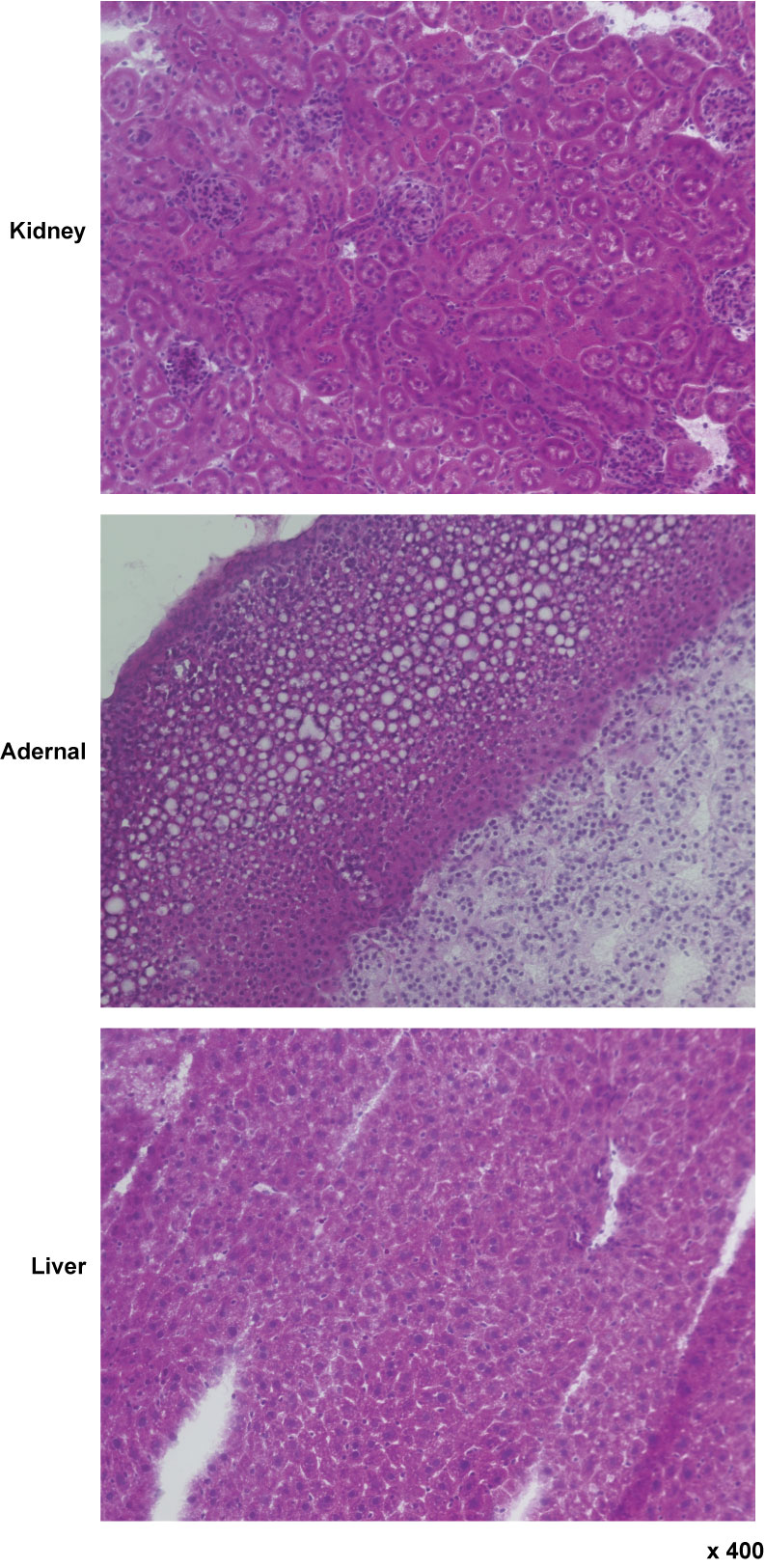
C57BL/6J 凍結切片 HE染色