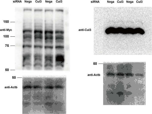
Cul3 ノックダウン 実験2
細胞:3T3L1-TetON-mArmc5 (Day6, 99%分化)
トランスフェクション
・10cm x 1枚→6cm x 2枚
・細胞のピペッティング:30回
・siRNA:300pmol/6cm
・AllStars Negative Control siRNA (Qiagen, 1027280)
・Mm_Cul3_4 (Qiagen, SI00962528) (AACAACTTTCTTCAAACACTA)
・lipofectamine RNAiMAX Reagent:10ul/6cm
・インキュベーション:24hr
薬剤処理:10ug/ml doxycycline, 28hr
蛋白抽出:Lysis Buffer 500ul/6cm→400ul回収
ウェスタンブロット
・Loading量:1.5%
・抗体:4℃, over night
・Myc-tag (9B11) mAb (HRP conjugate) (Cell Signaling, 2040, Lot: 4), 1/1000希釈
・anti-CUL3 (abcam, ab75851, Lot: GR150408-1), 1/20000希釈
・β-actin antibody (Sigma, A5441), 1/5000希釈
・二次抗体
・anti-rabbit Ig (GE, NA934V, Lot: 17016966), 1/2000希釈

