full-length SREBF1@€ΖuΎ~@ΐ±2
gD
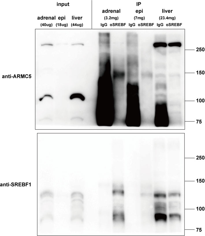
@EtF20Β(45.4mg)¨TNE 40ul/mgΕlysis¨3.6mg/ml (total 6.5mg)
@EΈόΝbgDF873.7mg¨TNE 20ul/mgΕlysis¨1.62mg/ml (total 14.1mg)
@EΜF606.2mg¨TNE 40ul/mgΕlysis¨3.87mg/ml (total 46.9mg)
ΖuΎ~
@E`Κ
@@EtF3.2mg/sample
@@EbgDF7mg/sample
@@EΜF23.4mg/samle
@ERΜF4, over night
@@Eanti-SREBF1(2A4) (Santa Cruz), 10ug
@@EChromPure Rabbit IgG (Jackson Immuno Research, 011-000-003), 10ug
@Er[YFProtein G Sepharose, 20ul, 1.5hr
@EnoFsample buffer, 60ul
EFX^ubeBO
@EQF7.5%
@EκRΜF4, over night
@@Eanti-ARMC5 (Novus), 1/1000σί
@@Eanti-SREBF1(2A4) (Santa Cruz), 1/200σί
@EρRΜFR.T., 80min
@@Eanti-rabbit (NA934V), 1/2000σί
@@Eanti-mouse (NA931V), 1/2000σί
