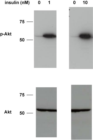
insulinによるAkt1リン酸化
細胞:3T3-L1 adipocytes (分化誘導後10日目)
insulin処理条件:DMEM(H)/FBS(-)で14.5hr→insulin処理10min
回収条件:Aprotinin + Leupeptin + PMSF + Na3VO4
条件1
ローディング量:10cmディッシュ1/180枚分
一次抗体:1/1000希釈
・Phospho-Akt (Ser473) Antibody (Cell Signaling, 9271)
・Akt Antibody (Cell Signaling, 9272)
二次抗体:Anti-rabbit Ig (GE, NA9340V), 1/2000希釈
発色
・p-Akt:Pierce Western Blotting Substrate Plus, 1sec
・Akt:Amersham ECL Western Blotting Detection Reagents, 3min

条件2
ローディング量:10cmディッシュ1/720枚分
一次抗体:Phospho-Akt (Ser473) Antibody (Cell Signaling, 9271), 1/2000希釈
二次抗体:Anti-rabbit Ig (GE, NA9340V), 1/2000希釈
発色:Pierce Western Blotting Substrate Plus, 1min
