症例167

# 副腎嚢胞

<現病歴>
 79歳。男性。左側腹部痛あり。

<検査所見>
 1mgデキサメサゾン抑制試験:陰性
 カプトプリル負荷試験:陽性
 塩酸蓄尿中カテコラミン:正常

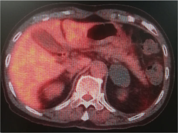
<画像所見>
 ・腹部CT:46 x 36mmの左副腎腫瘤。20HU


 ・腹部MRI:副腎嚢胞疑い


 ・PET-CT:良性病変疑い