症例243

# 肺腫瘍疑い

<現病歴>
 70歳。男性。

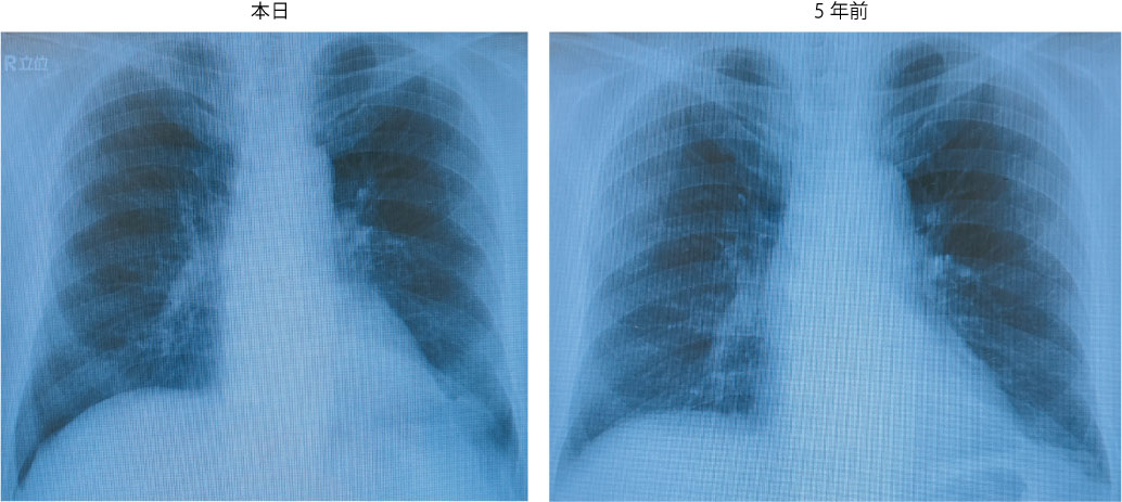
<画像所見>
 ・胸部レントゲン

 ・胸部CT:肺野、縦隔に異常なし