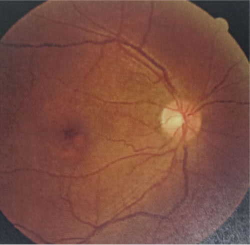
症例29

# 黄斑変性

<病歴>
 38歳。男性。健康診断受診。

<検査所見>
 ・右眼眼底カメラ:黄斑変性疑い



<経過>
 入院