ZΗ—α298

# tŒŒŠΗ‹Ψމ–bŽξ

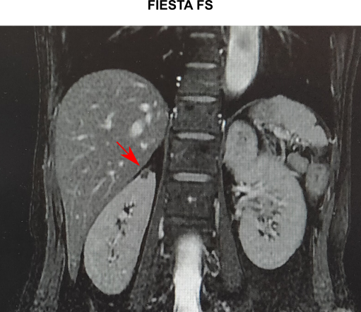
<Œ»•a—π>
@62ΞB—«BŠŒFΧ–EŽξ‚Ε’Κ‰@’†B

<‰ζ‘œŠŒ©
@E• •”’PƒMRIFtŒŒŠΗ‹Ψމ–bŽξ‹^‚’