症例31

# 肺結核

<病歴>
 69歳。男性。2年前、胸部Xpで異常指摘され、胸部CTの後定期フォローされていた。今回、先端巨大症疑いで入院。呼吸器症状は認めず。

<画像所見>
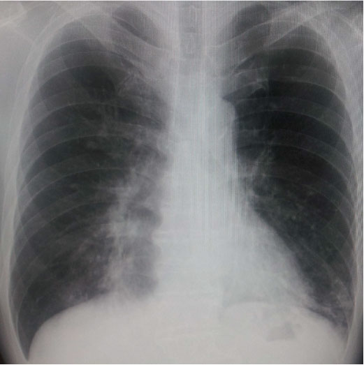
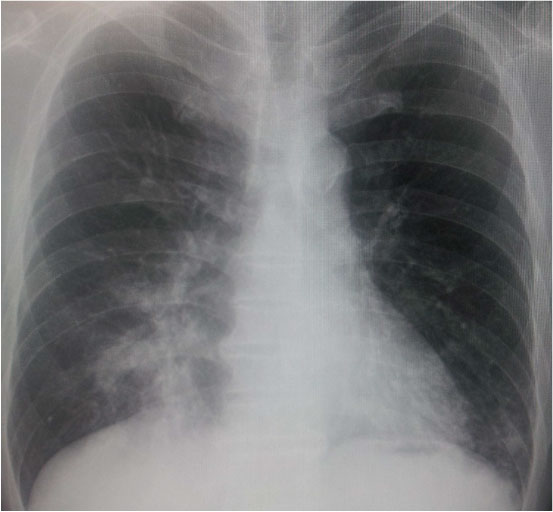
 ・胸部Xp:両下肺野に浸潤影、粒状影

 ・胸部CT:非結核性好酸菌症疑い

<経過>
 ・外泊後、38℃以上の発熱。PaO2低下あり、酸素投与。
  ・胸部Xp

  ・喀痰塗抹検査:ガフキー9号
  ・喀痰PCR検査:結核菌