症例36

# 急性心不全
# 高血圧

<病歴>
 64歳。男性。3ヶ月前より労作時の息切れが出現。3日前より労作時呼吸苦、夜間臥位時呼吸苦出現。昨日、夜間呼吸苦で全く眠れなかった。

<身体所見>
 185/126mmHg

<検査所見>
 BNP 1988.8

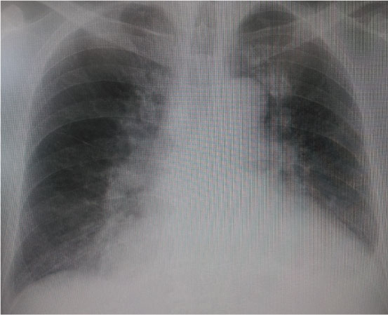
<画像所見>
 心電図:Af
 心エコー:EF 25%
 胸部Xp:CTR 71%, 肺うっ血(+), CPA鈍

<経過>
 ・入院し、ニカルジピン、ニトログリセリン、フロセミド、酸素投与