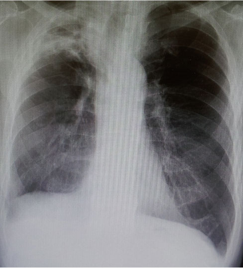
Ç—á41

# ’‹Œ«”xŒ‹Šj

<•a—ð>
@’j«B

<‰æ‘œŠŒ©>
@E‹¹•”XpF’‹Œ«”xŒ‹Šj‹^‚¢