症例45
# 医原性低血糖
<病歴>
75歳。男性。糖尿病に対してグリミクロン80mg、心不全・腎不全に対してループ利尿薬を投与されていた。最近1ヶ月食欲が無かった。昨晩より意識が低下し、本日救急搬送された。
<身体所見>
前脛骨浮腫(++)
<検査所見>
心電図:Af
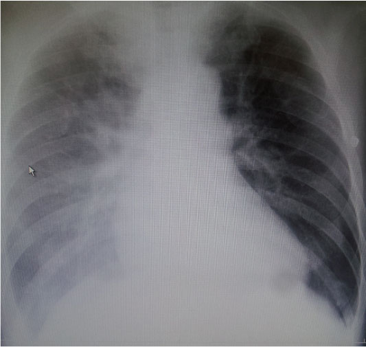
胸部Xp(臥位):右肺胸水

CT:明らかな異常無し
SMBG 感度以下, Cre 約1.8, BNP 約800
<経過>
当日:ブドウ糖静注、点滴により意識回復。グリミクロン内服中止。入院。
入院中:腎機能低下、下痢、食欲低下→中心静脈栄養→敗血症
1ヶ月後:死亡