症例53
# 肺扁平上皮癌
# 2型糖尿病
<病歴>
80歳。男性。6年前から胸部レントゲンは撮影していなかった。4年前まで喫煙。1年前の採血では糖尿病指摘されなかった。5ヶ月前HbA1c 11.4%。ネシーナ、グリミクロン処方され、2ヶ月前HbA1c 7.8%。本日、やや風邪気味の他、特に症状は無し。
<検査所見>
CRP 1.32, CEA 8.6, CA19-9 <0.6
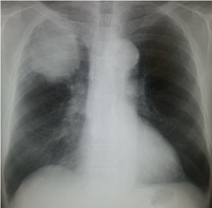
<画像所見>
胸部Xp:右上肺に巨大腫瘤陰影

<経過>
・2週間後:便Hb(-)(-)
・2ヶ月後:CEA 10.3, CYFRA 32.9, CRP 2.16, UA 7.6, 胸部CTでT4N0M0or1(肺内)。