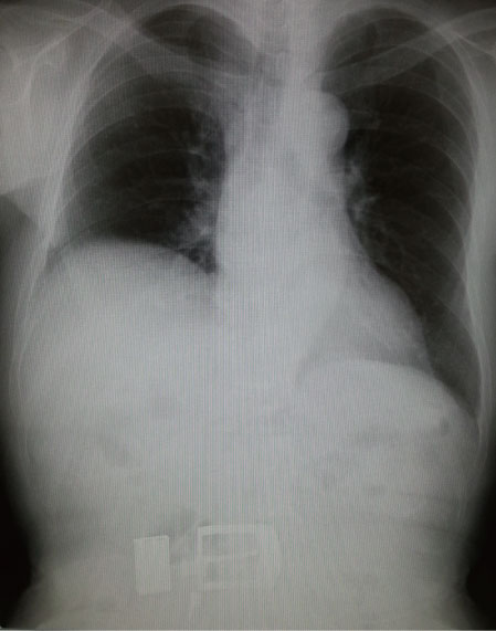
症例68

# 右横隔膜挙上

<現病歴>
 約80歳。男性。自覚症状なし

<画像所見>
 ・胸部Xp:右横隔膜挙上