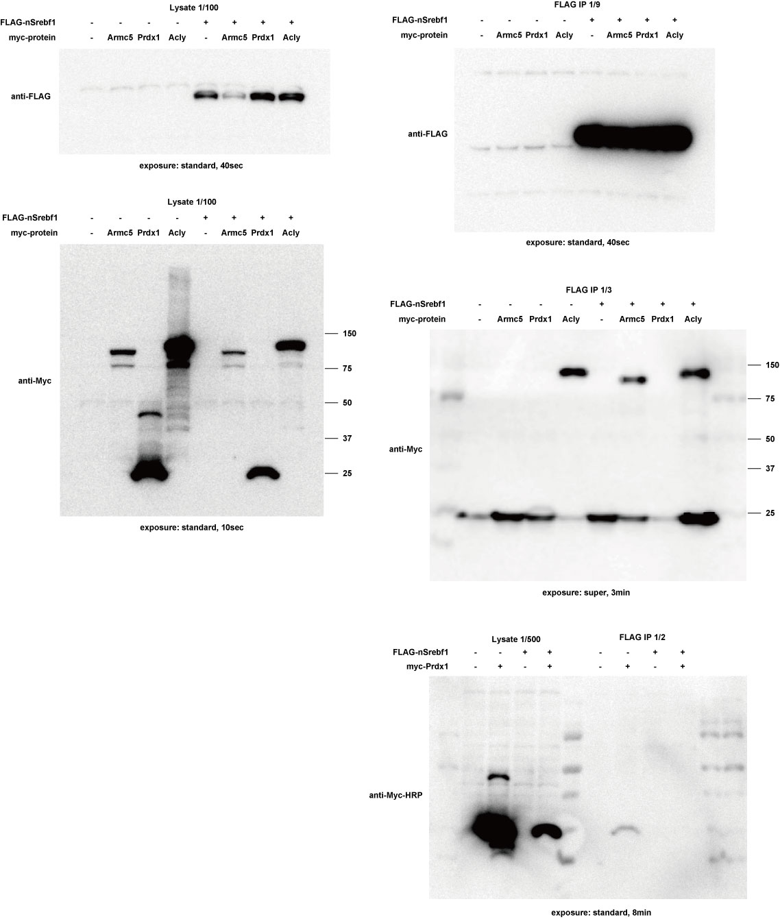
Srebf1 共免疫沈降 実験2
細胞
種類:HEK293T
前日:1.7 x 10^6/10cm, インキュベート24hr
当日:90% confluent
トランスフェクション
・プラスミド:7.5ug each/dish
・pcDNA3.1
・pcDNA3.1-FLAG-mnSrebf1
・pcDNA3.1-myc-His
・pcDNA3.1-mArmc5-myc-His
・pcDNA3.1-mPrdx1-myc-His
・pcDNA3.1-mAcly-myc-His
・lipofectamine 2000
・量:40ul/dish
・時間:4hr
・培養時間:30hr
免疫沈降
・ビーズ:20ul slurry
・時間:6hr
・洗浄:4回
・溶出:FLAG peptide
ウェスタンブロット
・ゲル
・10% (ATTO, E-T10L)
・5-20% (ATTO, E-T520L)
・一次抗体:4℃, over night
・anti-FLAG M2-HRP (Sigma, A8592, Lot:093K9158), 1/1000希釈
・Myc-tag (9B11) mAb (Cell Signaling, 2276, Lot:24), 1/1000希釈
・Myc-Tag (9B11) mAb (HRP conjugate) (Cell Signaling, 2040), 1/1000希釈
・二次抗体
・anti-mouse IgG (GE, NA931V, Lot:16826090), 1/2000希釈
