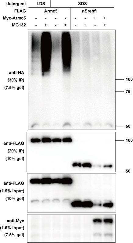
Srebf1 ユビキチンアッセイ 実験2
細胞:HEK293T (10cm)
密度:1.6 x 10^6/dish→20hr後、80% confluent
トランスフェクション
・プラスミド
・pRK5-HA-Ubiquitin WT, 3.75ug/dish
・pcDNA3.1-FLAG-mArmc5, 3.75ug/dish
・pcDNA3.1-FLAG-mnSrebf1, 0.75ug/dish
・pcDNA3.1-myc-His, 3ug/dish
・pcDNA3.1-mArmc5-myc-His, 3ug/dish
・時間:4hr
処理:トランスフェクション24hr後から、10uM MG132, 5hr
ウェスタンブロッティング
・一次抗体:4℃, over night
・anti-HA (262K) (Cell Signaling, 2362, Lot: 4), 1/1000希釈
・anti-FLAG M2-HRP (Sigma, A8592, Lot: 093K9158), 1/2000希釈
・Myc-tag (9B11) mAb (HRP conjugate) (Cell Signaling, 2040, Lot: 4), 1/1000希釈
・二次抗体:anti-mouse Ig (GE, NA931V, Lot: 17041904), 1/2000希釈
