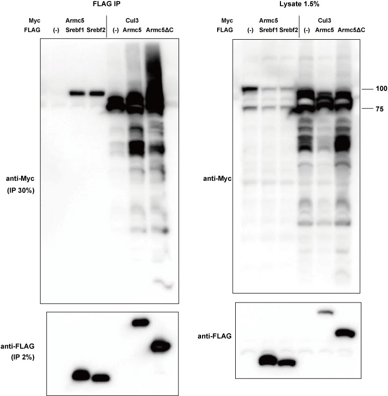
Srebf2 共免疫沈降
細胞
・HEK293T
・前日:1.6 x 10^6/10cm, インキュベート18hr
・当日:60% confluent
トランスフェクション
・プラスミド:7.5ug each/10cm
・pcDNA3.1-FLAG
・pcDNA3.1-FLAG-nmSrebf1
・pcDNA3.1-FLAG-nmSrebf2
・pcDNA3.1-FLAG-mArmc5
・pcDNA3.1-FLAG-mArmc5ΔC
・pcDNA3.1-mArmc5-myc
・pcDNA-Myc-Cul3
・試薬:lipofectamine 2000, 40ul/10cm
・時間:4hr
・培養時間:32hr
・viability:中等度の死細胞
免疫沈降
・Lysis Buffer:500ul/10cm
・蛋白分解阻害剤:Proteinase Inhibitor Cocktail (Nacalai)
・FLAG beads:20ul slurry
・免疫沈降時間:3hr
・洗浄:4回
・溶出:FLAG peptide, 40ul
ウェスタンブロット
・抗体:4℃, over night
・anti-FLAG M2-HRP (Sigma, A8592, Lot: 093K9158), 1/2000希釈
・Myc-tag (9B11) mAb (HRP conjugate) (Cell Signaling, 2040, Lot: 4), 1/1000希釈
