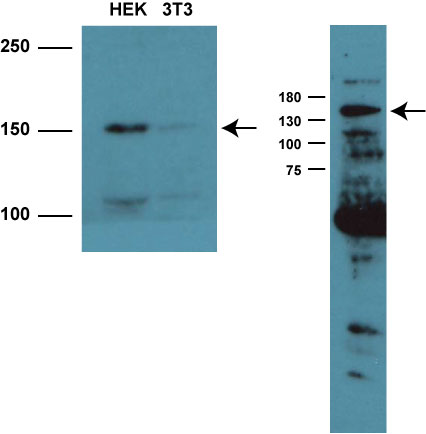
細胞抽出液中PHF2の検出
結論
・rabbit anti-human PHF2は、HEK293T、3T3-L1 adipocyte、3T3-L1
preadipocyte全てで内因性PHF2を検出できる
細胞
left panel:HEK293T (100% confluent), 3T3-L1 (分化誘導後5日目, 分化率90%)
right panel:3T3-L1 (80% confluent)
SDS-PAGE
ゲル濃度:8%
ローディング量
left panel:10cmディッシュ1/300枚分
right panel:10cmディッシュ1/225枚分
ウェスタンブロット
一次抗体:rabbit anti-ヒト蛋白P, 0.44ug/ml
二次抗体:anti-rabbit IgG (Dako, P0448), 1/3000希釈
発色液-コンタクト時間
left panel:ECL plus - 2hr
right panel:SuperSignal West Femto - 10min
