Ηα135
# U«bσB@\αΊΗIb^
<»aπ>
@38ΞBj«B1©ΩΗO©ηΔz’ο΄Aθ«ΜακAγzΙͺo»΅A{ϊσfB
<gΜ©>
@_owI©F³ν
@Albright₯σΘ΅
<Έ©>
@Ca 6.1, P 4.3, PTH 229
@eGFR 79
@Mg 1.9
<ζ©>
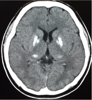
@EͺCTFΌ€ε]ξκjΞD»
@@
<oί>
@E4©γ
@@EΔz’ο΄Aθ«ΜακΝΑΈBγzΙΝcΆB
@@ECa 6.6, Alb 4.3, P 4.4, PTH 247, 1,25Vit.D 52, 25Vit.D 24, IGF 139, freeT 16.8, TSH 3.85, fT4 1.1, fT3 3.1, TgAb <5.0, TPOAb <3.0, TCOu14.3B
@@EEllsworth-Howard±FAcAMPΑΚ0.79umol/h, Α¦5.16{B
IndexΙίι