症例215
# 急性心筋梗塞
# 意識障害
<現病歴>
71歳。男性。脳梗塞既往。喫煙中。2型糖尿病に対し、トラゼンタ、メトグルコ処方。4か月前、意識消失し、転倒・骨折。昨日、下痢。本日、風呂で意識消失し、溺水。
<身体所見>
168/119mmHg、127bpm
<検査所見>
Na 128
CK 143
WBC 11730, CRP 0.32
血糖255mg/dl
動脈採血:pH 7.106, PCO2 63.5, PO2 31.2, HCO3 19.1, アニオンギャップ13.0
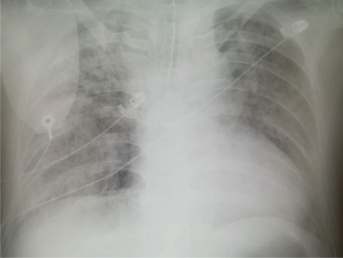
<画像所見>
・心エコー:#7領域無収縮
・心電図

・胸部レントゲン

<経過>
・当日:死亡