〇症例297
# 細菌性肺炎
<現病歴>
80歳。男性。糖尿病、高血圧、パーキンソン症候群、肺気腫で治療中。1か月程前、咳、痰が増悪し、近医で加療開始。7日前、転倒し、肋骨骨折。本日、定期受診。息苦しさの訴えあり。
<身体所見>
36.7℃
下腿浮腫(++)
<検査所見>
WBC 9200, 好中球82.3%, リンパ球9.9%, CRP 11.519
Cr 1.9, eGFR 27.3
Alb 3.0
NT-proBNP 876
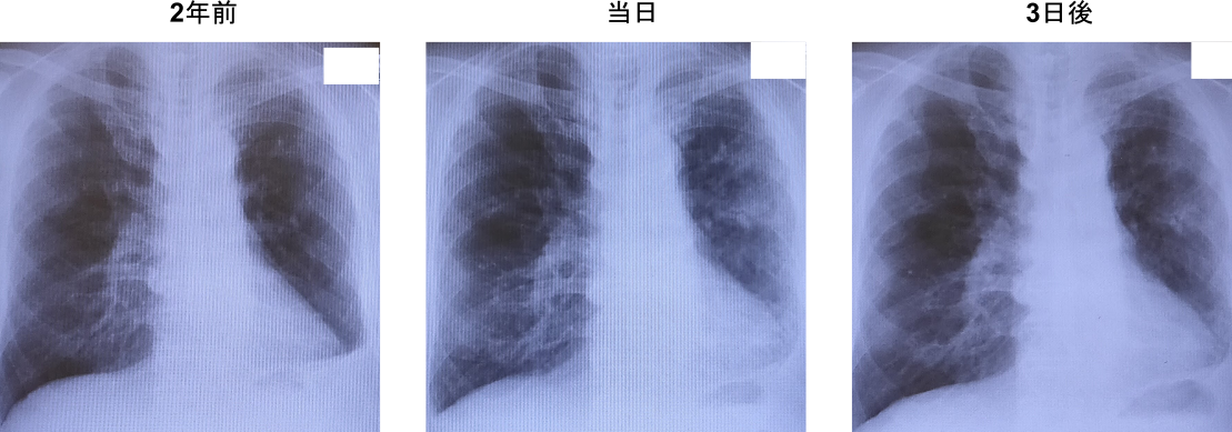
<画像所見>
・胸部レントゲン

・胸部CT:左肺炎疑い、両側少量胸水
<経過>
・当日:肺炎の診断。オーグメンチン250mg/アモキシシリン250mg x 朝夕/day開始
・3日後:Alb 3.4, Cr 1.9, CRP 6.015, WBC 8100, 好中球78.6%, リンパ球13.3%。喀痰排出困難あり、ホクナリンテープ2mg x 1枚/day開始