Ç—á32

# –«•ÂÇ«”x޾г

<•a—ð>
@59ÎB’j«B30”N‘O‚æ‚è‹i‰Œ20–{/“úB’èŠúŒ’Nf’fŽófB

<ŒŸ¸ŠŒ©>
@E%”xŠˆ—Ê 79.2%, 1•b—¦ 49.1%

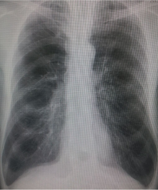
<‰æ‘œŠŒ©>
@E‹¹•”XpF‹CŽî«•ω»‚ð”F‚ß‚é