症例58

# マイコプラズマ肺炎

<現病歴>
 46歳。男性。以前より発汗過多だったが、最近発汗が増強した。本日健康診断。風邪症状あり。

<検査所見>
 CRP 0.5, WBC 5400/ul

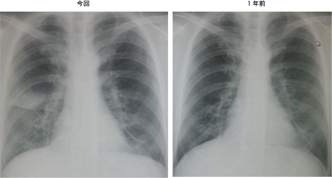
<画像所見>
胸部Xp:右肺野限局性浸潤影

<経過>
 胸部CTにてマイコプラズマ肺炎疑い。
 ↓
 ジスロマック投与し、改善